Zubní kámen pod dásní: co byste o něm měli vědět

  • prosince

    17

    2025
  • 5
Zubní kámen pod dásní: co byste o něm měli vědět

Náhled rizika zubního kamene pod dásní

Zubní kámen pod dásní je tichý ničitel, který často nevyvolává žádné příznaky, dokud není pozdě. Vyhodnoťte své riziko na základě faktorů, které zvyšují riziko jeho vzniku. Nečekáte na bolest - pravidelné kontroly jsou klíčové!

Vyberte faktory, které platí pro vás
(zvyšuje riziko o 50-70%)
(vysoká hladina cukru zvyšuje riziko infekcí)
(některé geny ovlivňují odpornost)
(oslabuje imunitní systém)
(antikoncepce, antidepresiva, léky na krevní tlak)
(nezakládá se na špatné hygieně, ale je riziko)
(u 35-44 let má každý druhý Čech značný nános)

Váš výsledek

Celkové riziko:
Doporučení

Zubní kámen pod dásní je jedna z nejčastějších příčin ztráty zubů u dospělých, a přesto ho mnoho lidí ignoruje, dokud nenastane bolest. Nejde o nějaký povrchový špínu, kterou stačí vyčistit kartáčkem. Tento kámen se tvoří přesně tam, kde ho nevidíte - mezi zubem a dásní, pod hranicí, kde se čistí jen zřídka. A když se tam usadí, začíná ničit nejen zub, ale i kost, která ho drží.

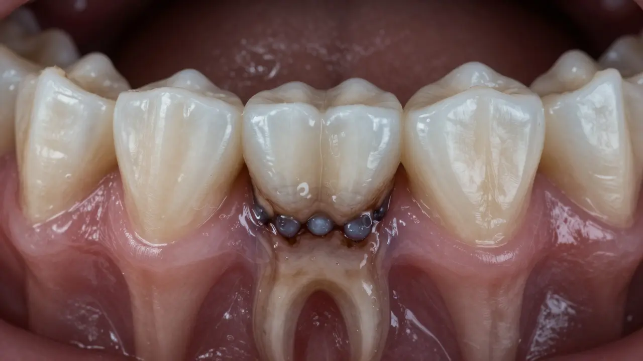
Co je to zubní kámen pod dásní?

Zubní kámen je tvrdý, vápenitý nános, který vzniká z plaku, když se jeho bakterie spojí s minerály ze slin. Plak je měkká, lepkavá vrstvička, která se na zubech tvoří každý den. Pokud ho neodstraníte během 24-48 hodin, začíná mineralizovat. Když se tento proces odehrává pod dásní, hovoříme o subgingiválním zubním kamenu.

Na rozdíl od viditelného kamene na povrchu zubů, který může být žlutý nebo hnědý, kámen pod dásní je často tmavě černý nebo šedý. Je těžký, jak kámen, a přilnul k povrchu zubu tak pevně, že ho kartáček ani nit nemůže odstranit. A právě tady začíná problém - když se kámen tvoří pod dásní, nejenže dráždí tkáně, ale i způsobuje, že se dásně odtrhávají od zubu a vznikají tzv. parodontální kapsy.

Proč je zubní kámen pod dásní nebezpečnější než ten viditelný?

Viditelný kámen je ošklivý, může způsobovat zápach z úst a zvyšuje riziko kazu, ale zubní kámen pod dásní ničí to, co nevidíte - kost. Když se dásně odtrhávají, vzniká prostor, kde se hromadí bakterie. Ty pak uvolňují toxiny, které ničí pojivovou tkáň a kost kolem kořene zubu. To je začátek parodontitidy.

Parodontitida není jen zánět dásní. Je to chronická infekce, která postupně rozpadá podpůrnou strukturu zubu. V průběhu let může vést k uvolnění zubů, jejich vypadnutí a dokonce k rozšíření infekce do krevního oběhu. Studie z Journal of Clinical Periodontology ukazují, že lidé s nelečenou parodontitidou mají o 40 % vyšší riziko srdečních onemocnění.

Když se kámen tvoří pod dásní, nebojíte se ho nevidět. Nebojíte se ho nečistit. A když se objeví první příznaky - krev při čištění, zápach, citlivost - už je často pozdě. To je důvod, proč je třeba pravidelně navštěvovat stomatologa, i když nic nebolí.

Kdo má nejvyšší riziko?

Není to jen otázka špatné hygieny. I lidé, kteří si pravidelně čistí zuby, mohou mít kámen pod dásní. Některé faktory zvyšují riziko:

  • Genetika - některé osoby mají přirozeně slabší odpornost proti bakteriím v ústech.
  • Kouření - nikotin zhoršuje krevní oběh v dásních, což zpomaluje hojení a maskuje příznaky zánětu.
  • Diabetes - vysoká hladina cukru v krvi zvyšuje riziko infekcí, včetně těch v ústech.
  • Stres - zvyšuje hladinu kortizolu, což oslabuje imunitní systém.
  • Užívání léků - například antikonceptiva, antidepresiva nebo léky na krevní tlak mohou způsobit suchost úst, což zvyšuje tvorbu plaku.

Ve věku 35-44 let má přibližně každý druhý Čech značný nános zubního kamene pod dásní, podle dat České stomatologické společnosti. A přesto jen 28 % z nich si nechává provést profesionální čištění v posledních dvou letech.

Co se stane, když to ignorujete?

Nejprve se dásně začnou krvácet. To je první varovný signál. Pak se objeví zápach z úst, který nezmizí ani po čištění zubů. Následuje citlivost na teplé, studené nebo sladké potraviny - to znamená, že kámen už dosáhl na zubní kmen.

Potom se dásně začnou odtahovat. Zuby vypadají delší, protože se odhalují jejich kořeny. To je nevratný proces. Pokud se nezastavíte, začne se rozpadat kost. Zuby se začnou hýbat. A nakonec - vypadnou.

V České republice se každoročně odstraní přes 120 000 zubů kvůli parodontitidě. Většina z nich by se dala zachránit, kdyby se kámen pod dásní odstranil včas.

Stomatolog měří hloubku parodontální kapsy pomocí sondy při rentgenovém snímku.

Jak se to dá zjistit?

Nemůžete to zjistit sami. Kartáček, nit nebo ústní voda to neodhalí. Pouze stomatolog může pomocí speciálního měřidla (tzv. parodontálního sondu) změřit hloubku kaps mezi zubem a dásní. Normální hloubka je 1-3 mm. Pokud je více než 4 mm, znamená to, že se tam hromadí kámen a bakterie.

Kromě toho se provádí rentgen. Na snímku je vidět, jak moc se ztrácí kost kolem zubu. Pokud máte kámen pod dásní, rentgen ukáže jasný „výřez“ kolem kořene zubu.

Nečekáte na bolest. Pokud vám krvácí dásně při čištění, nebo máte zápach z úst, který se nechce vytratit, je čas jít k lékaři. Ne na „když bude čas“, ale hned.

Jak se zubní kámen pod dásní odstraní?

Neexistuje domácí metoda. Neexistuje ústní voda, která by to vyčistila. Neexistuje zvláštní kartáček. Jediný způsob, jak odstranit kámen pod dásní, je profesionální čištění - tzv. skalování a vyhlazování kořenů.

Stomatolog použije ultrazvukové zařízení, které rozdrbí kámen na drobné částice, a poté ručními nástroji odstraní zbytky a vyhladí povrch kořene. Tím se odstraní „hrubé“ místa, kde by se jinak plak opět hromadil.

Proces není bolestivý, pokud je kámen ještě v rané fázi. Pokud je zánět pokročilý, může být potřeba místní anestézie. Některé kliniky používají i laser, který zničí bakterie a zároveň zastaví krvácení.

Po čištění je třeba dodržovat přísnou hygienu. Dásně se zahojí, ale jen pokud nebudete znovu umožňovat, aby se kámen tvořil. To znamená: čistit zuby dvakrát denně, používat nit, a každých 6-12 měsíců se nechat očistit.

Co můžete dělat doma?

Profesionální čištění je nutné, ale domácí péče je základ. Bez ní se kámen vrátí za několik měsíců.

  • Čistěte zuby dvakrát denně - alespoň dvě minuty, používejte kartáček s měkkými vlákny. Nečistěte agresivně, jinak poškodíte dásně.
  • Používejte zubní nit denně - je to jediný způsob, jak dostat se mezi zuby, kde se kámen tvoří nejčastěji.
  • Volte ústní vodu s chlorhexidinem - pokud máte zánět, lékař vám ji může doporučit na krátkou dobu. Nezneužívejte ji, může způsobit zbarvení zubů.
  • Přestaňte kouřit - to je nejúčinnější opatření, které můžete udělat. Kouření zvyšuje riziko parodontitidy o 50-70 %.
  • Pijte více vody - to podporuje tvorbu slin, které přirozeně čistí ústa.
Symbolický obraz ničení kosti kolem zubu bakteriemi a zánětem dásní.

Co se stane po čištění?

Po odstranění kamene se dásně mohou několik dní krvácet. To je normální. Můžete cítit citlivost na studené potraviny - to také zmizí během týdne. Většina lidí si všimne, že jejich dech je lepší, dásně jsou méně červené a nekrvácí.

Ale pozor: pokud se nebudete držet pravidel hygieny, kámen se vrátí za 3-6 měsíců. Parodontitida není onemocnění, které se „vylečí“ jedním návštěvou. Je to chronický stav, který vyžaduje pravidelnou péči.

Nejlepší strategie: každých 6 měsíců se nechat očistit. Pokud máte rizikové faktory (kouření, diabetes, genetika), každých 3-4 měsíce.

Kdy je už pozdě?

Pozdě je, když zub už nejde zachránit. Když je kost kolem něj zničena o více než 50 %. Když se zub hýbe při šťouchnutí. Když rentgen ukazuje, že kořen je zcela odhalený.

V těchto případech se zub odstraní. A poté začíná další problém - ztráta zubu vede k další ztrátě kosti, což ztěžuje následné implantace. A to je drahé. A bolestivé. A časově náročné.

Nejlepší je zastavit to dřív. Předtím, než začnete cítit bolest.

Závěr: Nečekáte na bolest

Zubní kámen pod dásní je tichý ničitel. Nebojí se vás. Neříká vám, že je tam. A nezakládá se na tom, že máte špatnou hygienu. Může se tvořit i u těch, kdo se o zuby starají.

Největší chyba je čekat na bolest. Když bolí, je už pozdě. Největší úspěch je jít na kontrolu, i když nic nebolí. A když vám lékař řekne, že máte kámen pod dásní - neříkejte „ale já si čistím zuby“. Řekněte: „Děkuju, že jste to objevil. Co děláme dál?“

Zubní kámen pod dásní se neodstraní sám. Ale lze ho zastavit. Pokud to uděláte včas, vaše zuby vám budou sloužit ještě desítky let.

Je možné odstranit zubní kámen pod dásní doma?

Ne. Žádný kartáček, nit, ústní voda nebo domácí prostředek neodstraní kámen pod dásní. Je to tvrdý, vápenitý nános, který se přilnul k povrchu zubu pod dásní. Pouze stomatolog může odstranit tento kámen pomocí ultrazvukových nástrojů a ručních skalpelů. Pokud se snažíte odstranit kámen doma, můžete si poškodit dásně a způsobit infekci.

Kolik stojí odstranění zubního kamene pod dásní?

Cena závisí na rozsahu problému. V České republice se za jednoduché skalování a vyhlazování kořenů platí od 1 500 do 4 000 korun. Pokud je kámen rozsáhlý nebo je potřeba léčba několika zubů, cena může dosáhnout 8 000-15 000 Kč. Většina zdravotních pojišťoven hradí část nákladů, pokud je léčba indikována lékařem. Doporučuji se zeptat na přesnou cenu před léčbou.

Může zubní kámen pod dásní způsobit zápach z úst?

Ano, přímo. Kámen pod dásní je skrýš pro bakterie, které rozkládají potravu a produkují pachové látky, jako je sírovodík. Tento zápach je odolný a nezmizí ani po čištění zubů, protože zdroj je pod dásní. Odstranění kamene a léčba zánětu často okamžitě zlepší dech.

Je zubní kámen pod dásní dědičný?

Samotný kámen není dědičný, ale vaše náchylnost k jeho tvorbě a k zánětům dásní ano. Některé genetické faktory ovlivňují silu imunitní odpovědi na bakterie v ústech. Pokud vaši rodiče měli časté problémy s dásněmi, je pravděpodobné, že máte vyšší riziko. To neznamená, že se to nemůže překonat - pravidelná péče a pravidelné kontroly to mohou výrazně omezit.

Může se zubní kámen pod dásní objevit i u dětí?

U dětí je kámen pod dásní velmi vzácný, protože mléčné zuby mají kratší kořeny a dásně jsou méně náchylné k zánětu. Výjimkou jsou děti s vážnými zdravotními problémy nebo těžkou hygienou. Pokud se však objeví, je to vážné varování. V takovém případě je nutné okamžitě navštívit pediatrického stomatologa.

Podobné novinky