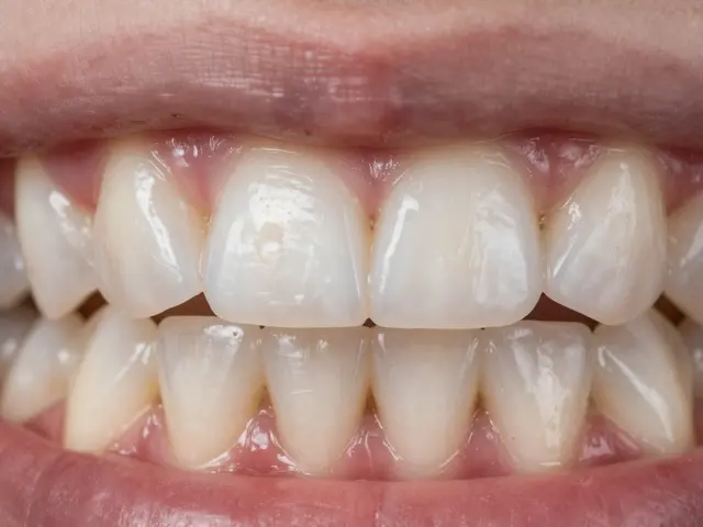
Zdraví a péče o tělo – jak udržet zuby zdravé a krásné

Každý den používáme ústa k jídlu, mluvení i úsměvu. Proto je ústní hygiena základem celkového zdraví. V tomto článku najdete konkrétní rady, jak na to, aniž byste museli číst složité odborné texty.

Jak vybrat správný zubní kartáček

Ne každý kartáček je vhodný pro všechny. Curaprox kartáčky jsou oblíbené díky jemným štětinám, které čistí i mezi zuby, aniž by poškrábaly dásně. Když vybíráte, podívejte se na tvrdost štětin – pro citlivé dásně zvolte měkké. Velikost hlavy by měla pokrýt ústní oblast, ale ne být příliš velká, aby se nedostalo do těžko dostupných míst.

Další tip: kartáček měňte každé 3–4 měsíce. Po této době se štětiny opotřebují a ztrácejí účinnost. Pokud používáte elektrický kartáček, kontrolujte, jestli máte správný nástavec pro citlivé zuby nebo pro fazety.

Prevence kazu a péče o rovnátka

Kaz se často skrývá mezi zuby. Pravidelné používání dentální nitě nebo mezizubních kartáčků odstraňuje zbytky jídla, kde zubní pasta selhává. Pokud máte keramická rovnátka, čistěte je jemným kartáčkem a vyhněte se tvrdým potravinám, které by mohly drátky poškodit.

Pro ochranu fazet zvolte pastu s nízkým obsahem abraziv. Fazety jsou tenké a mohou se poškrábat, pokud používáte agresivní čističe. Ideální je čistit dva‑třikrát denně a vyhnout se nadměrnému drhnutí.

Jedním z největších omylů je věřit, že zubní pastu stačí použít jen ráno. Večerní čištění je klíčové, protože během spánku ústa produkují méně slin a bakterie se množí rychleji. Kombinujte pastu s ústní vodou bez alkoholu, aby se snížila kyselost a podpořila reparace skloviny.

Na závěr připomínám, že pravidelné návštěvy zubaře jsou nezbytné. Kontrola jednou za šest měsíců odhalí problémy dříve, než se promění v bolest. Když máte rovnátka nebo fazety, požádejte zubaře o doporučené produkty a techniky, které šetří vaše úsměvy.

Udržovat zdravé zuby není složité – stačí si zvyknout na správné návyky a vybírat vhodné pomůcky. Začněte s jednoduchým výběrem kartáčku, čistěte mezi zuby a nezapomínejte na večerní hygienu. Vaše ústa vám poděkují jasným úsměvem a menšími bolestivými návštěvami zubaře.

  • dubna

    25

    2024
  • 5

Údržba zubů s fazetami: Kompletní každodenní průvodce

Správná péče o zuby s fazetami může zajistit jejich dlouhotrvající krásu a funkčnost. Tento článek nabídne hluboký pohled na denní rutiny a techniky údržby, které jsou klíčové pro udržení zdraví ústní dutiny. Nabízí praktické rady a doporučení od odborníků, stejně tak jako rozšířené informace o tom, jak prevence může předcházet běžným problémům. Čtenáři se dozví o správném čištění, vybírání dentálních produktů a metodách pro zachování struktury fazet.

Číst více
  • února

    6

    2024
  • 5

Jak se vyrovnat s mezizubním kazem: Účinné metody a prevence

Mezizubní kaz může být nenápadný, ale jeho dopady na naše zubní zdraví jsou obrovské. Tento průvodce nabízí podrobný pohled na to, jak se s tímto problémem vypořádat, od základních principů péče o ústní hygienu až po pokročilé metody prevence. Zjistěte, jaké nástroje jsou nejúčinnější a jak pravidelné návyky mohou zachránit vaše zuby před zbytečným poškozením.

Číst více
  • ledna

    19

    2024
  • 5

Kompletní průvodce výběrem Curaprox kartáčků: Najděte ten pravý pro svůj úsměv

Výběr správného zubního kartáčku je klíčový pro zachování zdraví vašich zubů a dásní. Tento článek nabízí podrobné srovnání a recenzi různých typů Curaprox kartáčků, které jsou na trhu dostupné. Dozvíte se o různých modelech, jejich vlastnostech a použití, aby jste mohli učinit informované rozhodnutí. Přinášíme zajímavé tipy a rady, jak vybrat ten nejlepší zubní kartáček právě pro vás, který podpoří vaši osobní ústní hygienu a pomůže udržet váš úsměv zdravý a krásný.

Číst více
  • listopadu

    30

    2023
  • 5

Jak řešit problémy s keramickými rovnátky: Praktický průvodce

V tomto článku se dozvíte, co dělat v případě, že se něco pokazí s vašimi keramickými rovnátky. Nahlédneme do běžných problémů, které mohou nastat, a nabídneme praktické tipy a řešení, jak se s nimi vypořádat. Od běžné údržby po naléhavé opravy, tento článek je vaším průvodcem pro zajištění zdravého a pohodlného nošení rovnátek.

Číst více