Vyvrtání zubu krok za krokem – zdraví a wellness

Vrtání zubu je běžná součást stomatologické péče, ale pro mnohé pacienty může být strašidelné. V tomto článku vám ukážu, co se během zákroku děje, jak se na to připravit a jak po něm zmírnit nepříjemnosti. Připraveni? Pojďme na to.

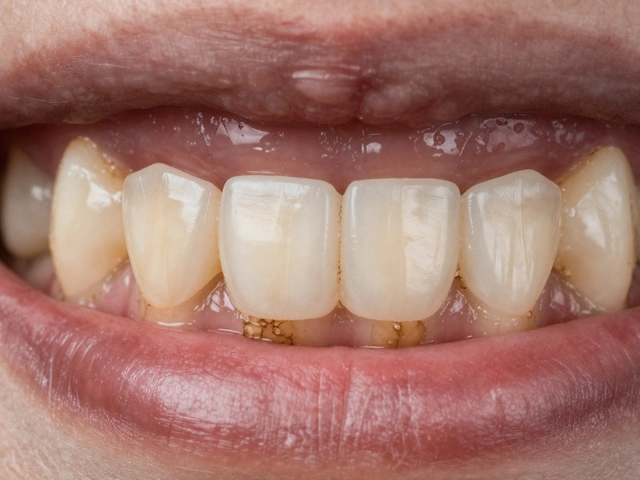
Jak probíhá vrtání zubu

První krok je prohlídka a rentgen, který odhalí přesnou polohu kazu. Zubař pak znecitliví oblast lokální anestézií – pocítíte jen lehké mravenčení. Následuje izolace zubu gumovým štítem, aby se sliny nedostaly do otvoru.

Po izolaci přichází na řadu samotné vrtání. Stomatolog používá rotační nástroj s jemnou bruskou, která postupně odstraňuje zkaženou tkáň. Přístroj má chladící vodní proud, takže se zub nepřehřívá a bolest je minimální.

Jakmile je dutina připravená, zubař ji vyplní výplní – může to být kompozit, amalgám nebo jiný materiál podle situace. Výplň se vytvrzuje světlem, aby byla pevná a odolná. Nakonec zkontroluje kousání a upraví výplň, pokud je potřeba.

Jak zmírnit bolest a péče po zákroku

Po vyvrtání zubu můžete cítit mírnou otok a tlak. Chladový obklad na tvář (ne přímo na kůži) pomůže otok zmenšit během prvních 24 hodin. Lehká strava – polévky, jogurty nebo měkké těstoviny – sníží podráždění.

Pokud vám zubák předepsal analgetika, užívejte je podle návodu. Vyhněte se horkým a studeným nápojům, dokud necítíte, že citlivost odezní. Ústní hygiena zůstává důležitá – čistěte zuby jemně měkkým kartáčkem a vyhněte se přímému kartáčování okolo nově ošetřené oblasti.

Většina pacientů se do 2–3 dnů cítí normálně. Pokud se bolest zhorší, objeví se nepřiměřená otoková reakce nebo výtok, kontaktujte svého zubaře – může jít o infekci, kterou je třeba řešit.

Pro prevenci dalších zákroků nezapomínejte na pravidelné kontroly. Jednou ročně (ideálně dvakrát) navštívíte zubaře, udělá se kontrola a případný rentgen. To umožní odhalit kaz včas, kdy je snadno léčitelný a vrtání často zcela zbytečné.

Největší výhodou správné péče po vyvrtání zubu je udržení zdravého úsměvu. Když se o zuby staráte pravidelně, snižujete riziko dalších kazů, zánět dásní a komplikací, které by potom vyžadovaly složitější zákroky.

Takže pokud se chystáte na vrtání zubu, nebojte se – s vědomím, co očekávat, a s pár praktickými tipy na péči po zákroku to jde hladce. Váš úsměv vám poděkuje.

  • července

    25

    2024
  • 5

Jak Zastavit Počínající Zubní Kaz Včas: Praktické Tipy a Triky

Počínající zubní kaz může být velmi nepříjemný problém, který ale lze včasným zásahem snadno zastavit. Tento článek poskytne užitečné tipy na to, jak rozpoznat první příznaky zubního kazu a jak správně pečovat o zuby, aby byl kaz zastaven ještě předtím, než bude nutná návštěva u zubaře. Najdete zde jednoduché rady, které vám pomohou udržet úsměv zdravý a krásný.

Číst více
  • června

    6

    2024
  • 5

Praktické použití dentální nitě: Vaše cesta ke zdravému úsměvu

Použití dentální nitě je klíčové pro udržování zdravých zubů a dásní. Tento článek poskytuje užitečné tipy a zajímavé fakty o správném používání dentální nitě a důvodech, proč by to mělo být součástí vaší každodenní rutiny. Naučíte se také, jak efektivně používat dentální niť, aby váš úsměv zůstal zdravý a jaké výhody může dentální niť přinést vašemu celkovému ústnímu zdraví.

Číst více
  • června

    1

    2024
  • 5

Jak obnovit zdraví zubů a zabránit dalším kazům

Zkažené zuby mohou znepříjemnit život a vést k dalším zdravotním problémům. Tento článek nabízí praktické rady a tipy, jak obnovit zdraví zubů a zabránit dalším kazům pomocí správné hygieny, návštěv u zubaře a přirozených metod.

Číst více
  • května

    23

    2024
  • 5

Jak pečovat o zubní sklovinu a proč je důležitá

Zubní sklovina je tvrdá ochranná vrstva našich zubů, která má klíčovou roli v jejich zdraví. Tento článek poskytuje podrobné informace o tom, jak zubní sklovina vypadá, jak ji správně pečovat a proč je tak důležitá. Navíc zahrnuje užitečné tipy pro každodenní péči o zuby a zajímavá fakta spojená s touto tématikou.

Číst více
  • května

    9

    2024
  • 5

Jak efektivně vybělit zuby? Nejlepší metody a praktické tipy

Máte zájem o bělejší úsměv? Tento článek vás provede různými metodami vybělení zubů, od domácích přípravků až po profesionální postupy. Zjistíte, které přísady jsou bezpečné a účinné a jak často by se měly tyto metody používat. Naučíte se také, jak si udržet bělost zubů dlouhodobě. Přečtěte si, jak efektivně zlepšit barvu vašich zubů bez poškození.

Číst více
  • dubna

    18

    2024
  • 5

Jak předcházet prasklinám na zubech: 10 efektivních tipů

Praskliny na zubech mohou být nejen bolestivé, ale i zdrojem dalších zdravotních problémů. V tomto článku se zaměříme na deset praktických tipů, jak těmto problémům předcházet. Důraz bude kladen na správnou péči o zuby, vhodné stravování a prevenci nárazů a úrazů. Přečtěte si, jak si uchovat zuby zdravé a silné a jaké zvyky bychom měli upravit nebo zcela eliminovat.

Číst více
  • dubna

    13

    2024
  • 5

Jak mezera mezi zuby ovlivňuje řeč a výslovnost: Kompletní průvodce

Tento článek se zaměřuje na objasnění, jak mezera mezi zuby - známá také jako diastema - může ovlivnit řeč a výslovnost člověka. Prozkoumáme, proč k těmto změnám dochází, jaké to může mít dlouhodobé důsledky a jak se s tímto jevem vyrovnat. Od anatomických aspektů po praktické tipy pro zlepšení výslovnosti, tento průvodce poskytuje komplexní pohled na to, jak si udržet kvalitní řeč i ve tváři této běžné dentální charakteristiky.

Číst více
  • dubna

    11

    2024
  • 5

Jak na viklající se zuby: Efektivní metody a tipy pro jejich zpevnění

Článek nabízí praktické rady a informace o tom, jak zpevnit viklající se zuby. Prozkoumáme různé metody, od domácí péče po profesionální zákroky, a poskytneme tipy na zlepšení ústní hygieny. Dále se zaměříme na příčiny viklání a význam preventivní péče pro udržení zdravých zubů.

Číst více
  • dubna

    6

    2024
  • 5

Vliv mezizubního kazu na zdraví ústní dutiny: Komplexní průvodce

Často přehlížený, ale podstatný faktor ovlivňující naše celkové ústní zdraví, mezizubní kaz, si zaslouží zvýšenou pozornost. Tento článek zkoumá, jak mezizubní kaz vzniká, proč je tak důležité jej řešit a jaké má dalekosáhlé důsledky nejen pro naše zuby, ale i pro celkové zdraví. Naučíte se, jak tento problém efektivně předcházet a jaké kroky podniknout pro zachování dobrého ústního zdraví.

Číst více
  • března

    30

    2024
  • 5

Jak ušetřit na opravě ulomeného zubu: Průvodce cenami a možnostmi

Oprava ulomeného předního zubu může být stresující nejen z estetických důvodů, ale i kvůli finanční zátěži. Tento článek poskytuje průvodce, jak na takovou situaci přistupovat efektivně a cenově dostupně. Od domácí léčby přes pojištění až po volbu správné zubní ordinace, zde najdete komplexní přehled možností, jak ušetřit a přitom získat kvalitní péči.

Číst více