Jak sundat zubní kámen doma a kdy jít k stomatologovi

  • prosince

    6

    2025
  • 5
Jak sundat zubní kámen doma a kdy jít k stomatologovi

Hodnocení rizika zubního kamene

Vyhodnoťte své riziko vzniku zubního kamene

Tento nástroj pomůže odhadnout, jak velké je vaše riziko vzniku zubního kamene na základě vašich zubních návyků a zdravotního stavu. Čím vyšší je riziko, tím důležitější je pravidelná návštěva stomatologa.

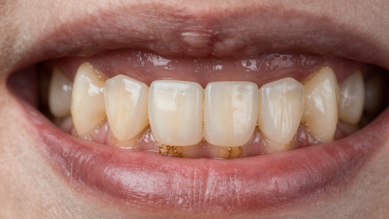
Zubní kámen není jen nepříjemný zákal na zubech - je to skutečný problém, který může vést k zánětům dásní, ztrátě zubů a dokonce k celkovému zhoršení zdraví. Většina lidí si ho všimne až tehdy, když ho cítí jazykem nebo ho vidí jako hnědou nebo žlutou vrstvu u zubních hran. Ale co když je kámen pod dásní? Tam ho nevidíte, ale může způsobit vážnější škody než ten viditelný.

Co je zubní kámen a jak vzniká?

Zubní kámen je tvrdý nános, který vzniká, když se plak (měkká vrstva bakterií) dlouho nesmývá. Plak se postupně vápencuje - tedy vápenaté soli ze slin se v něm usazují a ztuhují. To se děje obvykle v místech, kde se čistí méně: u zubních hran, mezi zuby, nebo pod dásní. Tam, kde je čištění obtížné, kámen vyrůstá rychleji.

Někdo si myslí, že zubní kámen je jen estetický problém. Ale není. Když se kámen tvoří pod dásní, dráždí tkáně, způsobuje zánět - to je tzv. parodontitida. Dásně se začnou stahovat, vznikají mezery, kde se sbírají bakterie, a zuby se začnou hýbat. V nejhorším případě zub vypadne. Podle dat z Národního ústavu zdraví v Praze má až 70 % dospělých v Česku nějakou formu zubního kamene, a z toho třetina má kámen pod dásní, aniž by to věděla.

Proč ho nemůžete sundat doma?

Na internetu najdete spoustu návodů, jak sundat zubní kámen doma - od špejlí, přes sůl a octo až po speciální „zubní kámen odstraňovače“. Všechny tyto metody jsou nebezpečné. Kámen není jako špína, kterou byste mohli odtřít. Je tvrdý jako kámen - a to nejen v přeneseném smyslu. Je tvořen minerály, které se vložily do plaku a vytvořily křehkou, ale pevnou strukturu.

Pokud se ho pokusíte sundat špejlí, nožem nebo jiným předmětem, můžete poškodit dásně, zubní sklovinu nebo dokonce zubní kořen. To způsobí bolest, krvácení a zvýší riziko infekce. A když kámen pod dásní necháte, neodstraníte ho vůbec - jen ho posunete hlouběji. Výsledek? Zhoršení parodontitidy a dražší léčba později.

Jak ho skutečně sundat?

Jediný bezpečný a účinný způsob, jak sundat zubní kámen, je u stomatologa. Používá se tam speciální zařízení - ultrazvukový skaler. Ten vydává rychlé vlny, které rozdrbují kámen bez poškození zubu. Zároveň se používá proud vody, který kámen oplachuje a ochlazuje tkáně. Proces je rychlý, obvykle trvá 20-40 minut, a není bolestivý, pokud máte zdravé dásně.

Pro kámen pod dásní se používá tzv. kuretáž - jemné nástroje, které stomatolog vloží pod dásňový okraj a opatrně odstraní kámen i zánětlivou tkáň. Toto už není jen „čištění“, ale léčba. Pokud máte zubní kámen pod dásní, pravděpodobně budete potřebovat i několik návštěv, protože se musí léčit postupně, část po části.

Co se stane, když to necháte?

Když necháte zubní kámen, kdekoliv je - na zubech nebo pod dásní - začne se množit bakterie. Ty vydávají kyseliny a toxiny, které ničí dásně a kost kolem zubů. První příznaky: dásně krvácí při čištění, cítíte zápach z úst, dásně se zčervenají a otékají. To je začátek gingivitidy - zánětu dásní. Pokud to ignorujete, přejde to na parodontitidu - tedy zánět kosti a vazivových tkání, které drží zub.

Když se kost začne rozpadat, zub ztrácí oporu. Nejprve se začne hýbat, pak se ztrácí jeho poloha, a nakonec vypadne. A to všechno bez bolesti - protože nervy v kosti nebo v dásních se často poškozují pozdě. Mnoho lidí si všimne problému až tehdy, když zub padne. A pak je už pozdě.

Průřez dásně s skrytým zubním kamenem a zánětlivou tkání.

Co můžete dělat doma, abyste zubní kámen zabránili?

Nejlepší léčba je prevence. A to nejen čištění zubů. Potřebujete tři věci:

  1. Pravidelné čištění zubů - dvakrát denně, alespoň dvě minuty. Používejte zubní kartáček s jemnými štětinami a fluoridovou pastou. Nezapomeňte na zuby v zadní části úst - tam se kámen tvoří nejčastěji.
  2. Používejte mezizubní kartáčky nebo nit - alespoň jednou denně. Plak se tvoří i tam, kde kartáček nedosáhne. Mezizubní prostor je největší místo pro vznik kamene pod dásní.
  3. Odstraňujte plak hned - když cítíte, že zuby jsou „špinavé“ nebo „hladké“ po jídle, nečekejte do večera. Propláchněte si ústa vodou nebo použijte ústní vodu bez alkoholu.

Nezapomeňte také na jídlo. Cukry, sladké nápoje a bílé pečivo se rychle mění na kyseliny, které způsobují plak. Kámen se tvoří rychleji, když jíte často sladké nebo kyselé věci. Pokud piješ čaj, kávu nebo červené víno, větší riziko máš - tyto nápoje zbarvují plak a urychlují jeho tvrdnutí.

Kdy jít k stomatologovi?

Nečekejte, až zubní kámen způsobí bolest. Doporučuje se čištění u stomatologa jednou za šest měsíců - i když nic nebolí. Pokud máte:

  • krvácení dásní při čištění zubů
  • zápach z úst, který nezmizí i po čištění
  • zuby, které se cítí volně nebo se posunuly
  • zvýšenou citlivost na teplé nebo studené jídlo

…jedete na návštěvu hned. Nejde jen o kámen - může to být začátek parodontitidy. A čím dřív ji zastavíte, tím menší škody budete mít.

Je nějaký způsob, jak si kámen doma odstranit bez škody?

Ano - ale jen jako pomocný krok, nikoli jako náhrada stomatologa. Můžete použít ústní vodu s chlorhexidinem (na předpis nebo bezreceptově). Ta snižuje množství bakterií a zpomaluje tvorbu plaku. Ale neodstraní kámen. Používejte ji maximálně 10 dní v řadě - delší užití může způsobit zbarvení zubů.

Některé zubní pasty obsahují enzymy, které pomáhají rozkládat plak. Ty mohou pomoci, ale jen pokud je používáte pravidelně a spolu s čištěním nití. Není to „čarovná pasta“, ale podpora.

Neexistuje žádná „důmá metoda“, která by nahradila profesionální čištění. Pokud vám někdo říká, že „to jde snadno doma“ - nevěřte. Je to riskantní a lživé.

Osoba hledí do zrcadla, zatímco za ní plavou představy poškození zubů.

Co se stane po čištění?

Po odstranění zubního kamene můžete cítit, že zuby jsou „prázdné“ nebo citlivé. To je normální. Dásně se po dlouhém zánětu zotavují, a když se kámen odstraní, jsou někdy zraněné. Citlivost na studené nebo teplé jídlo může trvat několik dní až týdnů. Používejte pastu pro citlivé zuby - obsahuje látky, které uzavírají mikrotrhliny v zubní sklovině.

Nezapomeňte na následující návštěvu. Stomatolog vám doporučí, kdy máte příští čištění. Pokud máte zubní kámen pod dásní, budete potřebovat častější kontroly - každé 3-4 měsíce, dokud se dásně nezotaví.

Je zubní kámen dědičný?

Ne, kámen samotný není dědičný. Ale některé věci ano - například složení slin, hustota dásní nebo schopnost těla bojovat s bakteriemi. Pokud vaši rodiče měli časté zubní problémy, můžete být více náchylní. To neznamená, že budete mít kámen - jen že potřebujete být ještě opatrnější s čištěním.

Je důležité vědět: každý člověk má plak. Každý. Ale ne každý má kámen. Rozdíl je v pravidelnosti a kvalitě péče.

Co dělat, když máte zubní kámen pod dásní a nemáte peníze na stomatologa?

Neexistuje žádný bezpečný způsob, jak to vyřešit bez lékaře. Ale v Česku máte několik možností:

  • Stomatologické kliniky na univerzitách (např. v Brně nebo Praze) nabízejí levné nebo zdarma čištění pro studenty i veřejnost.
  • Městské zdravotní střediska mají programy pro osoby s nízkým příjmem - zkontrolujte na místním úřadě.
  • Nejlevnější možnost je preventivní čištění - ne čekat na bolest, ale jít na kontrolu dřív. Cena jednoho čištění je obvykle 500-800 Kč. Cena ztraceného zubu je 15 000 Kč a více.

Nezakládejte se na tom, že „to se nějak vyřeší samo“. Zubní kámen pod dásní nezmizí sám - jen se zhorší.

Můžu sundat zubní kámen doma pomocí sůli a octa?

Ne. Sůl a ocet nemohou rozložit zubní kámen. Mohou dočasně osvěžit ústa nebo zpomalit růst plaku, ale kámen je minerální tvorba, kterou lze odstranit jen mechanicky - pomocí ultrazvuku nebo ručních nástrojů. Pokus o domácí odstranění může poškodit zubní sklovinu a dásně.

Je zubní kámen pod dásní viditelný?

Ne, není. Kámen pod dásní je skrytý a nelze ho vidět ani pomocí zrcátka. Jediný způsob, jak ho zjistit, je vyšetření u stomatologa pomocí zubního zrcátka a rentgenu. Pokud máte krvácení dásní, zápach z úst nebo hýbající se zuby, pravděpodobně máte kámen pod dásní - i když ho nevidíte.

Jak často bych měl jít na čištění zubního kamene?

Pro většinu lidí stačí jednou za šest měsíců. Pokud máte historii zubního kamene, zánětů dásní nebo kouříte, doporučuje se každé tři až čtyři měsíce. Stomatolog vám po prvním čištění řekne, jak často potřebujete přijít - podle stavu vašich dásní a rychlosti tvorby kamene.

Může zubní kámen způsobit bolest hlavy?

Ano, může. Zánět dásní a kámen pod dásní způsobují chronickou infekci v ústech. Tato infekce může ovlivňovat celé tělo - zvyšuje hladinu zánětlivých látek, které mohou vést k bolestem hlavy, únavě nebo dokonce problémům s kardiovaskulárním systémem. Pokud máte časté hlavobole a zároveň zubní kámen, je vhodné nejprve vyřešit ústní problém.

Je možné zubní kámen úplně odstranit?

Ano, ale jen pokud ho odstraníte včas. Profesionální čištění odstraní všechny nánosy. Ale kámen se může znovu tvořit - i za týden, pokud nebudete čistit zuby pravidelně. Neexistuje „na vždy“ řešení. Pouze pravidelná péče zabraňuje jeho návratu.

Nejlepší způsob, jak se vyhnout zubnímu kamenu, není nic složitého. Čistíte zuby pravidelně, používáte nit, a jednou za půl roku jste u stomatologa. To je vše. A to, co vypadá jako malá věc - denní čištění - je vlastně největší ochranou proti ztrátě zubů, bolesti a nákladné léčbě.

Podobné novinky